Seriously, Stop Opening Instagram When You Get Bored
Admit it: you open Instagram or TikTok the second you feel bored, don’t you?
Understand
Feb 23, 2026
4 min



At the supermarket in line, waiting for the bus, even in the bathroom — it’s always the same. Unlock. Tap. Endless Reels.
Well, know this: that right there — yes, just that — is quietly ruining your life. And in this article, we’re going to show you why, in a simple way.
But first, let’s introduce ourselves. I’m Laureline. I’m a product designer, and for nearly 10 years I’ve been working on problematic phone use (the notion of addiction still isn’t officially recognized by the WHO). For the past 4 years, I’ve been working on the app Jomo, which I co-created with Thomas, its developer. We’ve written many articles on this topic, and we’ll keep doing it as long as it matters. So if this interests you as much as it does us, feel free to explore our blog. Otherwise, enjoy the read!
Why Is It Bad To Open TikTok or Instagram When You’re Bored?
This goes beyond a simple question of right or wrong. You’re not doing anything illegal or morally “bad.” Opening an app instead of staring into space isn’t going to suddenly ruin your life.
What’s problematic is the repeated action that turns into a reflex. When you choose to kill boredom by scrolling, you neglect both your body and your mind. You teach your brain that boredom is something negative that must be filled immediately — in this case, with your phone.
“As soon as I feel empty, I must fill it. Instantly.”
I know, boredom feels awful at first. You don’t know what to do. You feel awkward. You think the 20 people around you are staring at you, judging this strange human being doing… nothing.
They’re not.
Nobody cares.
The person who’s right is the one who chooses to be bored.
Because filling the void of boredom means eliminating boredom. And boredom is a vital brain function. It’s not optional, and it’s not something to avoid at all costs. It’s essential.

©️ Art by Alexaperios.
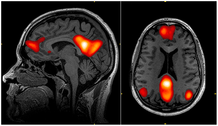
Default Mode Network
When you’re inactive — meaning your brain isn’t engaged in any particular task (you’re “bored”) — your brain is at rest, but still very active. It works in the background.
In this state, the Default Mode Network (DMN) activates. This network involves several brain regions, including the medial prefrontal cortex (self-reflection), the posterior cingulate cortex (memory and integration), the hippocampus (memories), and the angular gyrus (connections and meaning).
Activating these areas allows your brain to digest information, generate ideas, connect knowledge, consolidate memory, and regulate emotions.
In short: an essential time for your body and mind.
The problem is that when you fill this useful void with scrolling, you prevent this network from activating. You block your brain’s natural restructuring process. You just keep stuffing the void with new stimuli, on repeat.

Frontal MRI showing the regions of the DMN. You can clearly see that the brain is far from being at rest.
Why Is This So Important?
Today, many people struggle to find meaning in their lives. They don’t know who they are, what they want, what defines them. Beyond this generational malaise, there may be a factor that partly explains this “void of meaning” many people feel:
A lack of mental space and clarity.
If every empty moment is filled with scrolling, screens, or constant information, when does your brain have time to build the data that defines you?
Never.
An active DMN helps you clear your mind after your day, sort what matters from what doesn’t, step back, and integrate experiences. Consolidating memory means forming the memories that become part of who you are.
It’s also what allows you to generate new ideas, create connections between knowledge, memories, and new inputs. How can you have ideas if you never let information connect?
This time also allows you to process emotions — whether you remember them or not. Each emotion plays a key role in how you perceive the world and build your identity.
Which leads to a critical point: no time to build your identity.
Yes, boredom is the time your brain uses to build who you are. Your thoughts, choices, desires, preferences. It’s like Tinder for your brain. It swipes through “Nope,” “Yes,” and makes matches. If you prevent this, you cut off your brain’s ability to make sense of things.
Thinking can be uncomfortable. But it’s necessary.
Filling this time with scrolling doesn’t solve the problem — it amplifies it. Your thoughts don’t disappear. They accumulate somewhere. While you scroll, your brain doesn’t clear out; it keeps consuming new information without ever integrating it. This is what we call a state of continuous passive stimulation.
At the supermarket in line, waiting for the bus, even in the bathroom — it’s always the same. Unlock. Tap. Endless Reels.
Well, know this: that right there — yes, just that — is quietly ruining your life. And in this article, we’re going to show you why, in a simple way.
But first, let’s introduce ourselves. I’m Laureline. I’m a product designer, and for nearly 10 years I’ve been working on problematic phone use (the notion of addiction still isn’t officially recognized by the WHO). For the past 4 years, I’ve been working on the app Jomo, which I co-created with Thomas, its developer. We’ve written many articles on this topic, and we’ll keep doing it as long as it matters. So if this interests you as much as it does us, feel free to explore our blog. Otherwise, enjoy the read!
Why Is It Bad To Open TikTok or Instagram When You’re Bored?
This goes beyond a simple question of right or wrong. You’re not doing anything illegal or morally “bad.” Opening an app instead of staring into space isn’t going to suddenly ruin your life.
What’s problematic is the repeated action that turns into a reflex. When you choose to kill boredom by scrolling, you neglect both your body and your mind. You teach your brain that boredom is something negative that must be filled immediately — in this case, with your phone.
“As soon as I feel empty, I must fill it. Instantly.”
I know, boredom feels awful at first. You don’t know what to do. You feel awkward. You think the 20 people around you are staring at you, judging this strange human being doing… nothing.
They’re not.
Nobody cares.
The person who’s right is the one who chooses to be bored.
Because filling the void of boredom means eliminating boredom. And boredom is a vital brain function. It’s not optional, and it’s not something to avoid at all costs. It’s essential.

©️ Art by Alexaperios.
Default Mode Network
When you’re inactive — meaning your brain isn’t engaged in any particular task (you’re “bored”) — your brain is at rest, but still very active. It works in the background.
In this state, the Default Mode Network (DMN) activates. This network involves several brain regions, including the medial prefrontal cortex (self-reflection), the posterior cingulate cortex (memory and integration), the hippocampus (memories), and the angular gyrus (connections and meaning).
Activating these areas allows your brain to digest information, generate ideas, connect knowledge, consolidate memory, and regulate emotions.
In short: an essential time for your body and mind.
The problem is that when you fill this useful void with scrolling, you prevent this network from activating. You block your brain’s natural restructuring process. You just keep stuffing the void with new stimuli, on repeat.

Frontal MRI showing the regions of the DMN. You can clearly see that the brain is far from being at rest.
Why Is This So Important?
Today, many people struggle to find meaning in their lives. They don’t know who they are, what they want, what defines them. Beyond this generational malaise, there may be a factor that partly explains this “void of meaning” many people feel:
A lack of mental space and clarity.
If every empty moment is filled with scrolling, screens, or constant information, when does your brain have time to build the data that defines you?
Never.
An active DMN helps you clear your mind after your day, sort what matters from what doesn’t, step back, and integrate experiences. Consolidating memory means forming the memories that become part of who you are.
It’s also what allows you to generate new ideas, create connections between knowledge, memories, and new inputs. How can you have ideas if you never let information connect?
This time also allows you to process emotions — whether you remember them or not. Each emotion plays a key role in how you perceive the world and build your identity.
Which leads to a critical point: no time to build your identity.
Yes, boredom is the time your brain uses to build who you are. Your thoughts, choices, desires, preferences. It’s like Tinder for your brain. It swipes through “Nope,” “Yes,” and makes matches. If you prevent this, you cut off your brain’s ability to make sense of things.
Thinking can be uncomfortable. But it’s necessary.
Filling this time with scrolling doesn’t solve the problem — it amplifies it. Your thoughts don’t disappear. They accumulate somewhere. While you scroll, your brain doesn’t clear out; it keeps consuming new information without ever integrating it. This is what we call a state of continuous passive stimulation.
At the supermarket in line, waiting for the bus, even in the bathroom — it’s always the same. Unlock. Tap. Endless Reels.
Well, know this: that right there — yes, just that — is quietly ruining your life. And in this article, we’re going to show you why, in a simple way.
But first, let’s introduce ourselves. I’m Laureline. I’m a product designer, and for nearly 10 years I’ve been working on problematic phone use (the notion of addiction still isn’t officially recognized by the WHO). For the past 4 years, I’ve been working on the app Jomo, which I co-created with Thomas, its developer. We’ve written many articles on this topic, and we’ll keep doing it as long as it matters. So if this interests you as much as it does us, feel free to explore our blog. Otherwise, enjoy the read!
Why Is It Bad To Open TikTok or Instagram When You’re Bored?
This goes beyond a simple question of right or wrong. You’re not doing anything illegal or morally “bad.” Opening an app instead of staring into space isn’t going to suddenly ruin your life.
What’s problematic is the repeated action that turns into a reflex. When you choose to kill boredom by scrolling, you neglect both your body and your mind. You teach your brain that boredom is something negative that must be filled immediately — in this case, with your phone.
“As soon as I feel empty, I must fill it. Instantly.”
I know, boredom feels awful at first. You don’t know what to do. You feel awkward. You think the 20 people around you are staring at you, judging this strange human being doing… nothing.
They’re not.
Nobody cares.
The person who’s right is the one who chooses to be bored.
Because filling the void of boredom means eliminating boredom. And boredom is a vital brain function. It’s not optional, and it’s not something to avoid at all costs. It’s essential.

©️ Art by Alexaperios.
Default Mode Network
When you’re inactive — meaning your brain isn’t engaged in any particular task (you’re “bored”) — your brain is at rest, but still very active. It works in the background.
In this state, the Default Mode Network (DMN) activates. This network involves several brain regions, including the medial prefrontal cortex (self-reflection), the posterior cingulate cortex (memory and integration), the hippocampus (memories), and the angular gyrus (connections and meaning).
Activating these areas allows your brain to digest information, generate ideas, connect knowledge, consolidate memory, and regulate emotions.
In short: an essential time for your body and mind.
The problem is that when you fill this useful void with scrolling, you prevent this network from activating. You block your brain’s natural restructuring process. You just keep stuffing the void with new stimuli, on repeat.

Frontal MRI showing the regions of the DMN. You can clearly see that the brain is far from being at rest.
Why Is This So Important?
Today, many people struggle to find meaning in their lives. They don’t know who they are, what they want, what defines them. Beyond this generational malaise, there may be a factor that partly explains this “void of meaning” many people feel:
A lack of mental space and clarity.
If every empty moment is filled with scrolling, screens, or constant information, when does your brain have time to build the data that defines you?
Never.
An active DMN helps you clear your mind after your day, sort what matters from what doesn’t, step back, and integrate experiences. Consolidating memory means forming the memories that become part of who you are.
It’s also what allows you to generate new ideas, create connections between knowledge, memories, and new inputs. How can you have ideas if you never let information connect?
This time also allows you to process emotions — whether you remember them or not. Each emotion plays a key role in how you perceive the world and build your identity.
Which leads to a critical point: no time to build your identity.
Yes, boredom is the time your brain uses to build who you are. Your thoughts, choices, desires, preferences. It’s like Tinder for your brain. It swipes through “Nope,” “Yes,” and makes matches. If you prevent this, you cut off your brain’s ability to make sense of things.
Thinking can be uncomfortable. But it’s necessary.
Filling this time with scrolling doesn’t solve the problem — it amplifies it. Your thoughts don’t disappear. They accumulate somewhere. While you scroll, your brain doesn’t clear out; it keeps consuming new information without ever integrating it. This is what we call a state of continuous passive stimulation.

Your phone, your rules. Block on command and own your time.
For 30min
Everyday
On weekends
During workhours
From 10 pm to 8 am
For 7 days
All the time

Your phone, your rules. Block on command and own your time.
For 30min
Everyday
On weekends
During workhours
From 10 pm to 8 am
For 7 days
All the time

Your phone, your rules. Block on command and own your time.
For 30min
Everyday
On weekends
During workhours
From 10 pm to 8 am
For 7 days
All the time
So How Do You Take Back Control?
You will never win by fighting boredom. It’s not your enemy. The real problem is the reflex you’ve built over time — the one that pushes you to reject boredom and scroll instead.
That reflex is the real enemy. The goal here isn’t to become more disciplined, but to break the reflex (or at least make it harder).
Step 1: Break the Physical Motion
When you feel bored, you quickly grab your phone, unlock it, and start scrolling. Sometimes you don’t even realize you’re doing it—that’s how deep the reflex runs. And that’s the first part of the problem.
The idea is to interrupt this automatic gesture by keeping your phone as far away as possible or by making it harder to access. Here are a few practical tips you can use:
Don’t keep your phone easily accessible (like in open pockets or loose pants pockets). Instead, use small bags or zipped pockets. The simple act of opening something and reaching in can add 15–20 seconds, which is often enough to become aware of what you’re about to do.
Don’t use Face ID—use a passcode instead. Avoid unlocking your phone with a smile. Entering a code creates friction. You can even use more than four digits to make it more tedious. And don’t hesitate to choose numbers that are harder to reach with your thumb, which makes the action slightly more uncomfortable.
When you’re at home, avoid leaving your phone on the table while you eat, next to you on the couch, or on your desk. Try to keep at least 1.5 meters of distance from it. Every time you want to use it, you’ll have to physically move, which can be discouraging.
This small effort is often enough to bring awareness: “Why am I picking this up?”
Step 3: Replace the Gesture
Just like with smokers, what’s often hard isn’t only the nicotine — it’s the gesture. Bringing a cigarette to the lips, inhaling, exhaling… it becomes deeply wired into daily life and part of the smoker’s identity.
For phone addicts, it’s very similar. That mechanical movement of the thumb, the swipe, the scroll — it’s often compulsive and difficult to control.
So here, the recommendation is the same as for someone trying to quit smoking: replace the gesture with another one to redirect your brain’s attention. For example:
Drink a glass of water
Walk for one minute
Look out the window
Write down an idea, doodle something
Stretch
The goal is not to do something productive, but to give your reflex a different outlet.

©️ Art by Bonde.
Step 4: Add Software Friction
As we often say: when it comes to problematic phone use, you’re not the only one responsible. App designers also play their part. Everything you use today is monetized (yes, companies need to make money). So you either pay with your credit card — or with your time and attention.
Side note: if you’re interested in the business model of social media and the attention economy, we wrote a full article about it.
The idea here is to make these apps a little less easy to access and limit how much they take over your daily life. Use them — but in a controlled way.
To do this, we recommend installing the free app Jomo. It’s an app we’ve been developing for 4 years and continuously improving to adapt to the increasingly sneaky tactics of social media.
With Jomo, you’ll create a blocking rule that adds friction to your most addictive apps. These apps will be blocked by default, and you’ll have to take a break before using them. That break will require you to complete a small exercise and will be limited in time.
Here’s the quick Jomo tutorial:
Open Jomo and go to Rules.
Tap the template “Use With Intention.”
In Block > add your social media apps to start.
In Active > set it to Always-On.
In Breaks > allow yourself only 4–5 breaks per day (that’s enough… even just 5 breaks of 15 minutes already adds up to 1h25 per day on those apps).



For the exercise required before a break, the best options are:
Wait: you must wait before using the app, with an increasing delay.
Intention: you must state why you want to use the app.
Recopy: you must retype a long text that discourages you from using the app.
Take a photo (AI): you must take a photo of a completed action to unlock the break (for example: dishes done, dishwasher emptied, laundry hung, etc.)
Then simply tap Schedule to start.
A Final Note
Now you understand why scrolling just to kill time isn’t such a good idea — and why it can explain that strange feeling of emptiness you sometimes experience.
But if there’s one thing to remember, it’s this: you should never be in a state of resistance, but in a state of change. You’re not fighting boredom or fighting your phone. You’re breaking the reflex so you can choose boredom instead.
Thanks so much for reading this far — it really means a lot. I wrote this article with my own brain and the help of the internet. I include sources when I remember, so you can keep exploring the topic.
If you’d like to try the Jomo app, you can use my referral code FG2HA9 to get 14 days of free access to the paid version.
So How Do You Take Back Control?
You will never win by fighting boredom. It’s not your enemy. The real problem is the reflex you’ve built over time — the one that pushes you to reject boredom and scroll instead.
That reflex is the real enemy. The goal here isn’t to become more disciplined, but to break the reflex (or at least make it harder).
Step 1: Break the Physical Motion
When you feel bored, you quickly grab your phone, unlock it, and start scrolling. Sometimes you don’t even realize you’re doing it—that’s how deep the reflex runs. And that’s the first part of the problem.
The idea is to interrupt this automatic gesture by keeping your phone as far away as possible or by making it harder to access. Here are a few practical tips you can use:
Don’t keep your phone easily accessible (like in open pockets or loose pants pockets). Instead, use small bags or zipped pockets. The simple act of opening something and reaching in can add 15–20 seconds, which is often enough to become aware of what you’re about to do.
Don’t use Face ID—use a passcode instead. Avoid unlocking your phone with a smile. Entering a code creates friction. You can even use more than four digits to make it more tedious. And don’t hesitate to choose numbers that are harder to reach with your thumb, which makes the action slightly more uncomfortable.
When you’re at home, avoid leaving your phone on the table while you eat, next to you on the couch, or on your desk. Try to keep at least 1.5 meters of distance from it. Every time you want to use it, you’ll have to physically move, which can be discouraging.
This small effort is often enough to bring awareness: “Why am I picking this up?”
Step 3: Replace the Gesture
Just like with smokers, what’s often hard isn’t only the nicotine — it’s the gesture. Bringing a cigarette to the lips, inhaling, exhaling… it becomes deeply wired into daily life and part of the smoker’s identity.
For phone addicts, it’s very similar. That mechanical movement of the thumb, the swipe, the scroll — it’s often compulsive and difficult to control.
So here, the recommendation is the same as for someone trying to quit smoking: replace the gesture with another one to redirect your brain’s attention. For example:
Drink a glass of water
Walk for one minute
Look out the window
Write down an idea, doodle something
Stretch
The goal is not to do something productive, but to give your reflex a different outlet.

©️ Art by Bonde.
Step 4: Add Software Friction
As we often say: when it comes to problematic phone use, you’re not the only one responsible. App designers also play their part. Everything you use today is monetized (yes, companies need to make money). So you either pay with your credit card — or with your time and attention.
Side note: if you’re interested in the business model of social media and the attention economy, we wrote a full article about it.
The idea here is to make these apps a little less easy to access and limit how much they take over your daily life. Use them — but in a controlled way.
To do this, we recommend installing the free app Jomo. It’s an app we’ve been developing for 4 years and continuously improving to adapt to the increasingly sneaky tactics of social media.
With Jomo, you’ll create a blocking rule that adds friction to your most addictive apps. These apps will be blocked by default, and you’ll have to take a break before using them. That break will require you to complete a small exercise and will be limited in time.
Here’s the quick Jomo tutorial:
Open Jomo and go to Rules.
Tap the template “Use With Intention.”
In Block > add your social media apps to start.
In Active > set it to Always-On.
In Breaks > allow yourself only 4–5 breaks per day (that’s enough… even just 5 breaks of 15 minutes already adds up to 1h25 per day on those apps).



For the exercise required before a break, the best options are:
Wait: you must wait before using the app, with an increasing delay.
Intention: you must state why you want to use the app.
Recopy: you must retype a long text that discourages you from using the app.
Take a photo (AI): you must take a photo of a completed action to unlock the break (for example: dishes done, dishwasher emptied, laundry hung, etc.)
Then simply tap Schedule to start.
A Final Note
Now you understand why scrolling just to kill time isn’t such a good idea — and why it can explain that strange feeling of emptiness you sometimes experience.
But if there’s one thing to remember, it’s this: you should never be in a state of resistance, but in a state of change. You’re not fighting boredom or fighting your phone. You’re breaking the reflex so you can choose boredom instead.
Thanks so much for reading this far — it really means a lot. I wrote this article with my own brain and the help of the internet. I include sources when I remember, so you can keep exploring the topic.
If you’d like to try the Jomo app, you can use my referral code FG2HA9 to get 14 days of free access to the paid version.
So How Do You Take Back Control?
You will never win by fighting boredom. It’s not your enemy. The real problem is the reflex you’ve built over time — the one that pushes you to reject boredom and scroll instead.
That reflex is the real enemy. The goal here isn’t to become more disciplined, but to break the reflex (or at least make it harder).
Step 1: Break the Physical Motion
When you feel bored, you quickly grab your phone, unlock it, and start scrolling. Sometimes you don’t even realize you’re doing it—that’s how deep the reflex runs. And that’s the first part of the problem.
The idea is to interrupt this automatic gesture by keeping your phone as far away as possible or by making it harder to access. Here are a few practical tips you can use:
Don’t keep your phone easily accessible (like in open pockets or loose pants pockets). Instead, use small bags or zipped pockets. The simple act of opening something and reaching in can add 15–20 seconds, which is often enough to become aware of what you’re about to do.
Don’t use Face ID—use a passcode instead. Avoid unlocking your phone with a smile. Entering a code creates friction. You can even use more than four digits to make it more tedious. And don’t hesitate to choose numbers that are harder to reach with your thumb, which makes the action slightly more uncomfortable.
When you’re at home, avoid leaving your phone on the table while you eat, next to you on the couch, or on your desk. Try to keep at least 1.5 meters of distance from it. Every time you want to use it, you’ll have to physically move, which can be discouraging.
This small effort is often enough to bring awareness: “Why am I picking this up?”
Step 3: Replace the Gesture
Just like with smokers, what’s often hard isn’t only the nicotine — it’s the gesture. Bringing a cigarette to the lips, inhaling, exhaling… it becomes deeply wired into daily life and part of the smoker’s identity.
For phone addicts, it’s very similar. That mechanical movement of the thumb, the swipe, the scroll — it’s often compulsive and difficult to control.
So here, the recommendation is the same as for someone trying to quit smoking: replace the gesture with another one to redirect your brain’s attention. For example:
Drink a glass of water
Walk for one minute
Look out the window
Write down an idea, doodle something
Stretch
The goal is not to do something productive, but to give your reflex a different outlet.

©️ Art by Bonde.
Step 4: Add Software Friction
As we often say: when it comes to problematic phone use, you’re not the only one responsible. App designers also play their part. Everything you use today is monetized (yes, companies need to make money). So you either pay with your credit card — or with your time and attention.
Side note: if you’re interested in the business model of social media and the attention economy, we wrote a full article about it.
The idea here is to make these apps a little less easy to access and limit how much they take over your daily life. Use them — but in a controlled way.
To do this, we recommend installing the free app Jomo. It’s an app we’ve been developing for 4 years and continuously improving to adapt to the increasingly sneaky tactics of social media.
With Jomo, you’ll create a blocking rule that adds friction to your most addictive apps. These apps will be blocked by default, and you’ll have to take a break before using them. That break will require you to complete a small exercise and will be limited in time.
Here’s the quick Jomo tutorial:
Open Jomo and go to Rules.
Tap the template “Use With Intention.”
In Block > add your social media apps to start.
In Active > set it to Always-On.
In Breaks > allow yourself only 4–5 breaks per day (that’s enough… even just 5 breaks of 15 minutes already adds up to 1h25 per day on those apps).



For the exercise required before a break, the best options are:
Wait: you must wait before using the app, with an increasing delay.
Intention: you must state why you want to use the app.
Recopy: you must retype a long text that discourages you from using the app.
Take a photo (AI): you must take a photo of a completed action to unlock the break (for example: dishes done, dishwasher emptied, laundry hung, etc.)
Then simply tap Schedule to start.
A Final Note
Now you understand why scrolling just to kill time isn’t such a good idea — and why it can explain that strange feeling of emptiness you sometimes experience.
But if there’s one thing to remember, it’s this: you should never be in a state of resistance, but in a state of change. You’re not fighting boredom or fighting your phone. You’re breaking the reflex so you can choose boredom instead.
Thanks so much for reading this far — it really means a lot. I wrote this article with my own brain and the help of the internet. I include sources when I remember, so you can keep exploring the topic.
If you’d like to try the Jomo app, you can use my referral code FG2HA9 to get 14 days of free access to the paid version.
Credits
Photographies and illustrations by Lummi and Unsplash.
[1] Mashelkar — 60 seconds will change your life, Medium, 2020.
[2] Wikipedia — Default Mode Network, 2026.
[3] Eyal — Hooked, 2014.
[4] Clear — Atomic Habits, 2018.
Continue reading
Continue reading
The Joy Of Missing Out

Crafted in Europe
All rights reserved to Jomo SAS, 2026
The Joy Of Missing Out

Crafted in Europe
All rights reserved to Jomo SAS, 2026
The Joy Of Missing Out

Crafted in Europe
All rights reserved to Jomo SAS, 2026


